
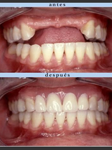
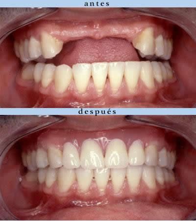
Existe diferentes alternativas para que el paciente pueda elegir entre ellas tenemos:
En donde el paciente puede elegir el tipo de prótesis que desea usar tanto por comodidad y por precios.
Una de las prótesis más recomendadas es la prótesis Flexible ya que se adhiere a la encía y tiene el color rosado es mucho más cómoda y adaptable para el paciente.